7 wskazówek: zdrowy uśmiech bez dentysty!

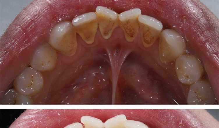
Olśniewający uśmiech jest jak wizytówka: ma ogromne znaczenie. Ale z czasem na naszych zębach osadza się ukryty wróg — kamień nazębny. Skutek? Żółtawe plamy, szorstkie uczucie… i uśmiech, którym już nie chcesz się chwalić. Co jeśli powiemy Ci, że istnieją proste, naturalne i skuteczne rozwiązania, aby pożegnać się z tymi uporczywymi osadami? **_Bez regularnych wizyt u dentysty lub inwestowania w drogie zestawy wybielające._** Oto 7 prostych wskazówek, które możesz łatwo zastosować w domu, aby przywrócić czyste, białe zęby… i zdrowie jamy ustnej! 1.

Magiczny duet: soda oczyszczona i nadtlenek wodoru! To jak ekspresowy środek czyszczący do szczotkowania zębów. Soda oczyszczona, lekko ścierna, pomaga usuwać płytkę nazębną. Nadtlenek wodoru o jakości spożywczej działa jak łagodny środek dezynfekujący. Wymieszaj **_2 łyżki_** sody oczyszczonej z **_1 łyżką_** nadtlenku wodoru (maksymalnie 3%). Szczotkuj zęby tą pastą przez 2 minuty, a następnie dokładnie wypłucz usta. Rób to 1-2 razy w tygodniu **_maksymalnie_**.

2. Rozcieńczony ocet jabłkowy: Twój nowy sojusznik! Znany ze swoich właściwości antybakteryjnych ocet jabłkowy może rozłożyć płytkę nazębną, zanim zamieni się w kamień nazębny. **Rozcieńcz łyżeczkę octu jabłkowego w łyżce stołowej wody**, używaj jako płynu do płukania ust przez 30 sekund, a następnie spłucz czystą wodą. Nie stosuj codziennie, aby **_uniknąć uszkodzenia szkliwa_**.

3. Olej kokosowy: Płucz usta staromodnym sposobem! Ta metoda, pochodząca z tradycji ajurwedyjskiej, nazywa się _płukaniem ust olejem_. Olej kokosowy, dzięki swoim naturalnym właściwościom antybakteryjnym, zatrzymuje bakterie i odświeża oddech. Weź łyżkę stołową oleju kokosowego i płucz nią usta przez 10-15 minut. Wypluj (do kosza, nigdy do zlewu, aby uniknąć zatkania), a następnie wypłucz usta.

4. Skórka pomarańczowa: Inteligentny peeling! Limonen zawarty w skórce pomarańczowej pomaga rozpuszczać przebarwienia powierzchniowe. Delikatnie pocieraj wewnętrzną stronę skórki o zęby przez 2-3 minuty. Możesz również zrobić z niego pastę, krusząc ją. Jest naturalny, delikatny i skuteczny.

5. Węgiel aktywowany: Czarny, wybielający! Dzięki porowatej strukturze węgiel aktywowany pochłania zanieczyszczenia i pomaga usuwać płytkę nazębną. Zanurz wilgotną szczoteczkę do zębów w proszku, delikatnie szczotkuj zęby przez 2 minuty, a następnie dokładnie wypłucz usta. Stosuj z umiarem (**_1-2 razy w tygodniu_**), aby uniknąć uszkodzenia szkliwa.

6. Aloes: Delikatny i skuteczny! Ten ziołowy żel ma właściwości przeciwzapalne i antybakteryjne. Wymieszaj **_1 łyżeczkę_** żelu aloesowego z **5 g** sody oczyszczonej i **1/2 łyżeczki** olejku eterycznego z cytryny. Szczotkuj zęby tą domową pastą, aby ukoić dziąsła i zmniejszyć kamień nazębny.

7. Zielona herbata: Twoje usta ją pokochają! Bogata w katechiny,Zielona herbata ogranicza rozwój bakterii i pomaga utrzymać zdrowie jamy ustnej. Pij filiżankę zielonej herbaty dziennie (bez cukru!), aby naturalnie wzmocnić mechanizmy obronne jamy ustnej. Aby zachować olśniewający uśmiech, koniecznie się do tego stosuj! Te wskazówki nie zastąpią profesjonalnej opieki, ale stanowią doskonałe uzupełnienie prawidłowej higieny jamy ustnej: szczotkowanie dwa razy dziennie, nitkowanie zębów, stosowanie delikatnych płynów do płukania ust i przede wszystkim regularne wizyty u dentysty. Wprowadź jedną lub dwie z tych wskazówek do swojej rutyny, a zobaczysz realną poprawę w ciągu kilku tygodni. Mniej kamienia nazębnego, gładsze zęby, świeższy oddech… a wszystko to bez nadwyrężania budżetu.

Leave a Reply

Your email address will not be published. Required fields are marked *